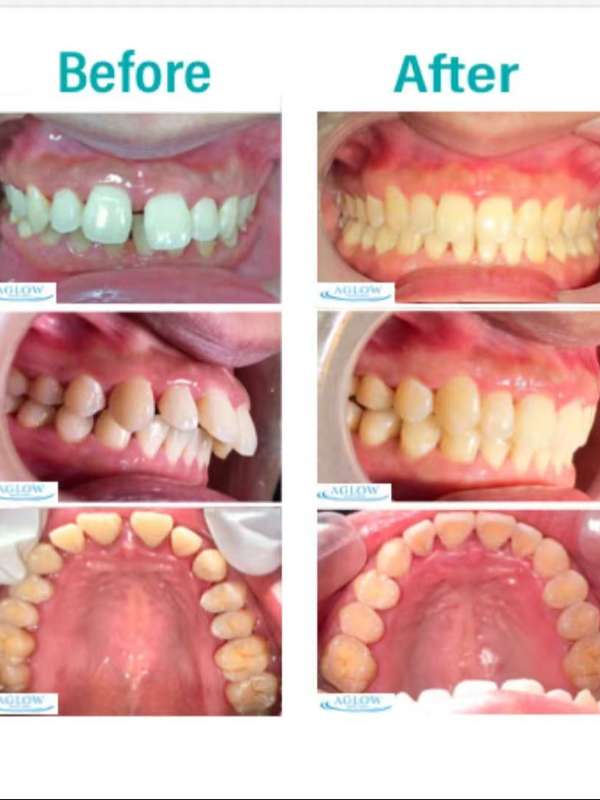
18 Months Of Invisalign Treatment--- 隐适美18月治疗
to improve the patient's deepbite, gaps,protrusion teeth.
改善病人:牙间隙过大,深覆合,牙齿外凸
Place mouse over picture to pause
18 Months Of Invisalign Treatment--- 隐适美18月治疗
to improve the patient's deepbite, gaps,protrusion teeth.
改善病人:牙间隙过大,深覆合,牙齿外凸