Smile Gallery
Modern, tooth-coloured restorations make cosmetic dentistry options virtually endless. Take a moment to browse through the results that some of our patients have enjoyed. When you are ready to make a change to your smile, please give our Sydney CBD, Haymarket dental clinic a call!
*The images shown in our Smile Gallery are examples of dental treatments provided at our practice. Individual results will vary depending on each patient’s dental needs and circumstances.
*The images shown in our Smile Gallery are examples of dental treatments provided at our practice. Individual results will vary depending on each patient's dental needs and circumstances.
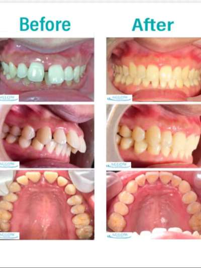
9 month Invisalign treatment improved patient;
gummy smile, deepbite, crowding.
9个月隐适美治疗改善病人--露龈笑,深覆合,牙齿拥挤。
Aglow 牙医诊所的病人洗牙全部采用瑞士制造的 EMS 牙科设备经过严格测试,已被证明是业内最佳选择。您可以预约时间,亲自体验我们专业的预防和维护设备,感受 AIRFLOW® 的强大效果以及我们喷砂粉的卓越性能。同时确保最高水平的舒适度、安全性和治疗效率。---开启悉尼CBD洗牙的新篇章!
Emax crowns are an excellent option for patients seeking a natural, long-lasting restoration for cracked, worn, discoloured, or heavily filled teeth. They’re especially popular for smile enhancements and aesthetic smile makeovers.
Emax 全瓷冠是一种高端、无金属的牙冠修复体,采用高强度锂二硅酸玻璃陶瓷材料制作。它兼具卓越美观性与出色强度,色泽通透自然,几乎与真牙无异,是前牙及美学修复的理想选择。
✔ 高度仿真,自然通透
✔ 强度高,耐用可靠
✔ 无金属,不会出现黑边
✔ 生物相容性好,更呵护牙龈
Porcelain inlays are custom-made ceramic restorations used to repair teeth with moderate decay or damage. They fit precisely within the tooth, restoring strength and function while blending seamlessly with your natural tooth colour — a superior alternative to traditional fillings.
✔ Natural tooth-coloured ceramic
✔ Stronger and longer-lasting than fillings
✔ Custom-made for a precise fit
✔ Mercury-free and biocompatible
什么是瓷嵌体?
瓷嵌体是一种用于修复因蛀牙、旧补牙失败或牙体缺损而受损牙齿的陶瓷修复体。当牙齿损坏程度不足以需要全冠修复时,瓷嵌体是一种介于“补牙”和“牙冠”之间的理想选择。
瓷嵌体并非直接在口内填充,而是通过精密取模或数字扫描,在牙科技工所定制完成后,再牢固粘接于牙齿内部,从而实现更精准、更稳固的修复效果。
At Aglow, we use 3D surgical guide which is an advanced digital tool used in dental implant treatment to place implants with exceptional accuracy. Using 3D scans and digital planning, the guide allows implants to be positioned precisely according to your anatomy — improving safety, comfort, and long-term success.
✔ Highly accurate implant placement
✔ Reduced surgical risk
✔ Faster, minimally invasive procedure
✔ Improved comfort and predictability
在植牙治疗中,精准与安全从不妥协。
3D 数字化种植导板(3D Guided Implant Surgery)是一项先进的数字化种植技术,通过三维影像扫描与术前精密规划,为种植牙提供高度精准、微创且可预期的植入方案。
随后,通过高精度制作的手术导板,在实际手术中引导种植体植入,实现近乎毫米级的精准度。
✨ Philips Zoom Whitening
Instantly Brighter. Professionally Controlled. Exceptionally Refined.
Philips Zoom Whitening is a globally trusted, in-chair professional teeth whitening system designed to deliver fast, noticeable, and natural-looking results. Using advanced whitening gel activated by the Philips Zoom light, this treatment can dramatically brighten your smile in a single visit — safely, comfortably, and with precision.
Philips Zoom 冷光美白是一种在牙科诊所内进行的专业美白疗程。治疗过程中,医生会在严格隔离牙龈的前提下,将高效美白凝胶均匀涂抹于牙齿表面,并使用 Zoom 专用冷光灯进行激活,加速色素分解,从而达到快速、均匀且可控的美白效果。
整个过程由专业牙医全程操作,安全性与效果远高于居家美白产品。
⸻
为什么选择 Philips Zoom 冷光美白?
▸ 即刻可见的美白效果
单次疗程即可明显提升牙齿亮度,适合重要场合前快速改善笑容。
▸ 专业、安全可控
由牙医操作,严格保护牙龈与牙釉质,降低敏感风险。
▸ 均匀自然的色泽
冷光激活使美白效果更均匀,避免色差,呈现自然亮白而非“假白”。
▸ 高端舒适体验
治疗时间短,过程舒适,是追求效率与品质人群的理想选择。
Facial Aesthetics
Medically Led. Subtly Enhanced. Naturally You.
Facial aesthetics is a natural extension of modern dentistry — where an in-depth understanding of facial anatomy, balance, and function meets refined aesthetic enhancement. At our clinic, facial aesthetic treatments are exclusively delivered by qualified dental professionals, ensuring precision, safety, and results that enhance — never overpower — your natural features.
Our philosophy is simple: subtle refinement, harmonious proportions, and confidence that looks effortless
Occlusal Splint / Dental Mouth Guard
Protection, Comfort, and Long-Term Oral Health
An occlusal splint — also known as a dental mouth guard or night guard — is a custom-made oral appliance designed to protect your teeth and jaw from excessive grinding, clenching, and bite imbalance. Precisely crafted for your bite, it helps relieve jaw tension, reduce tooth wear, and support long-term health.
保护牙齿 · 放松咬肌 · 守护长期口腔健康
咬合板是一种由牙医定制的可摘戴式口腔装置,主要用于保护牙齿免受夜磨牙、紧咬牙(Bruxism)及咬合不平衡带来的损伤。通过在上下牙之间形成稳定的缓冲层,咬合板可有效减少牙齿磨耗、缓解下颌肌肉紧张,并帮助维持健康的咬合关系
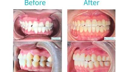
18 Months Of Invisalign Treatment--- 隐适美18月治疗
to improve the patient's deepbite, gaps,protrusion teeth.
改善病人:牙间隙过大,深覆合,牙齿外凸
Guided Biofilm Therapy is the systematic, predictable solution for dental biofilm management in professional prevention and maintenance using state of the art AIRFLOW®, PERIOFLOW® and ...
help to improve her midline, crowding, asymmetrical face
改善病人面型不对称,牙齿拥挤
Porcelain Veneers
Refined Craftsmanship. Natural Beauty. Confident Smiles.
Porcelain veneers are one of the most sophisticated cosmetic dental treatments available, designed to enhance the appearance of your smile with precision and elegance. Individually crafted and expertly bonded, veneers transform the colour, shape, and harmony of your teeth — while preserving a natural, effortless look.
Our philosophy is simple: beautiful results that never look artificial.
高端瓷贴面 · 悉尼市中心美学牙科
精致定制 · 自然通透 · 重塑自信笑容
瓷贴面是现代美学牙科中最精致、最具代表性的微笑改善方式之一。
通过为每一颗牙齿量身定制的超薄全瓷贴面,在尽量保留天然牙体的前提下,细腻改善牙齿的颜色、形态与比例,打造自然、不刻意、经得起细看的微笑。
我们的理念始终如一:好看,但看不出“做过”
如果您正在寻找 Sydney CBD 的高端瓷贴面治疗(Porcelain Veneers Sydney),我们的诊所提供由经验丰富牙医主导的定制级微笑设计服务。我们专注于自然、克制、长期稳定的瓷贴面效果。
Restored Function. Natural Appearance. Renewed Confidence for dentures services in Sydney CBD
Dentures are a trusted and effective solution for replacing missing teeth, restoring both function and appearance. Modern dentures are far more comfortable, natural-looking, and precise than ever before — designed to support everyday activities such as eating, speaking。
恢复功能 · 自然外观 · 重拾自信生活--悉尼市中心为您提供专业义齿服务
义齿是一种成熟而可靠的缺牙修复方式,适用于单颗、多颗或全口牙齿缺失的情况。随着现代牙科技术的发展,如今的义齿在舒适度、稳定性与美观度方面均有显著提升,能够帮助患者重新找回正常进食、清晰发音与自信笑容。
在我们诊所,所有义齿均根据患者的口腔结构、咬合关系与面部轮廓进行个性化定制,而非“一套通用”。