Skip to main content
Aglow
DENTAL GROUP
Home
About
Our Team
Dr Angela Zhang
Dr Vivian Jeng
Technology
Clinic Photos
Services
View All
Teeth Whitening
Dental Sleep Medicine-- Sleep APnoea & Snorning Treatment
Early Orthodontics Intervention for Children
AIRFLOW® Dental Spa
Cosmetic Dentistry
Dental Crowns and Bridges
Dental Implants
Facial Cosmetic Injectables
Invisible Clear Braces in Haymarket, Sydney
Laser Dentistry
Paediatric Dentistry - Free Child Dental Care - CDBS Available*
Preventive and General Dentistry
Root Canal Treatment
Tooth Extractions
Tooth-Coloured Fillings
Treatment Summary
Veneers
中文
日本語
Smile Gallery
Patient Info
View Patient Info
Your First Visit
Forms
Financial
Specials
FAQs
Book Online
Contact
Aglow
DENTAL GROUP
Book Online
Like us on Facebook
Connect with us on LinkedIn
Leave a Google Review
Instagram
WeChat
(02) 9281 4217
General and Aesthetic Dentistry
Sussex Centre, Suite 519/401 Sussex St, Haymarket NSW 2000
Book Now
Aglow
>
Smile Gallery
>
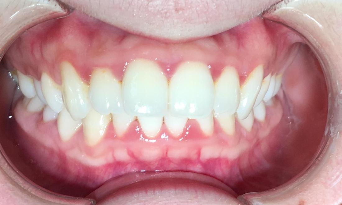
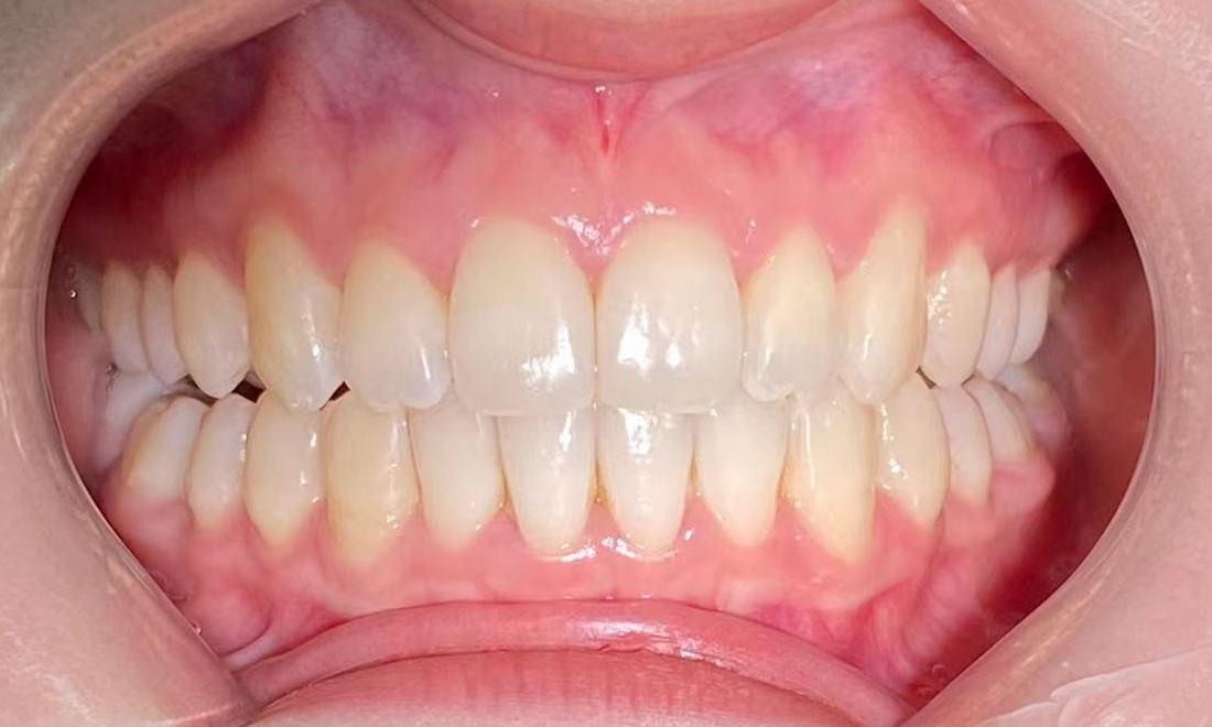
Invisible Orthodontics
Invisible Orthodontics
Return to Smile Gallery
Previous
Next
Related Services:
Invisible Clear Braces in Haymarket, Sydney
Ready to book an appointment?
Schedule Now
OK!
×
×
Contact Us Today
Give Us A Call
Aglow Dental Group -
(02) 9281 4217
Send Us an Email
Ready to Schedule an Appointment?
Book Online
Have Questions? Contact Us:
Required Field
Your Name:
Phone:
Email:
Are you a new patient?:
Are you a?
New Patient
Current Patient
How would you like us to contact you?
Please choose
Email
Call
How did you hear about us?
Please choose
I'm an existing patient
Google/Bing
Mailer
Word of mouth
Social media
Other
Who Referred You?:
Your Message
:
This site is protected by reCAPTCHA and the Google
Privacy Policy
and
Terms of Service
apply.
Sending...
×
This Patient's Experience
Loading Testimonial...
Loading Case...